avatar

Aiman Farooq

Ph.D. Student
Indian Institute of Technology Jodhpur
farooq.1@iitj.ac.in


About Me

I am a Ph.D. student in the CSE Dept. at IIT Jodhpur, specializing in Multi-modal medical image analysis. Before that, I obtained my Masters degree in Electronics and Bachelors degree in Information Technology from NIT Srinagar, India.

Research Interests

News

Publications

  1. BSPC
    Aiman Farooq, Deepak Mishra, Santanu Chaudhury
    Biomedical Signal Processing and Control

  2. Under Review
    Aiman Farooq, Azad Singh, Deepak Mishra, Santanu Chaudhury
    Under Review

  3. Under Review
    Aiman Farooq, Azad Singh, Deepak Mishra, Santanu Chaudhury
    Under Review

  4. NeurIPS WiML
    Aiman Farooq, D Mishra, S Chaudhury
    Women in Machine Learning Workshop @ NeurIPS, 2025

  5. MICCAI
    Shripad Pate*, Aiman Farooq*, Suvrankar Datta, Dr Musadiq Adil Sheikh, Dr. Atin Kumar, Deepak Mishra
    Medical Image Computing and Computer Assisted Intervention (MICCAI), 2025

  6. ICVGIP
    Gyandera Singh, Azad Singh, Aiman Farooq, Deepak Mishra
    Indian Conference on Computer Vision, Graphics and Image Processing (ICVGIP), 2025

  7. MICCAI
    Aiman Farooq*, Chandisha Das*, Deepak Mishra
    Deep-Breath Workshop @ MICCAI, 2025

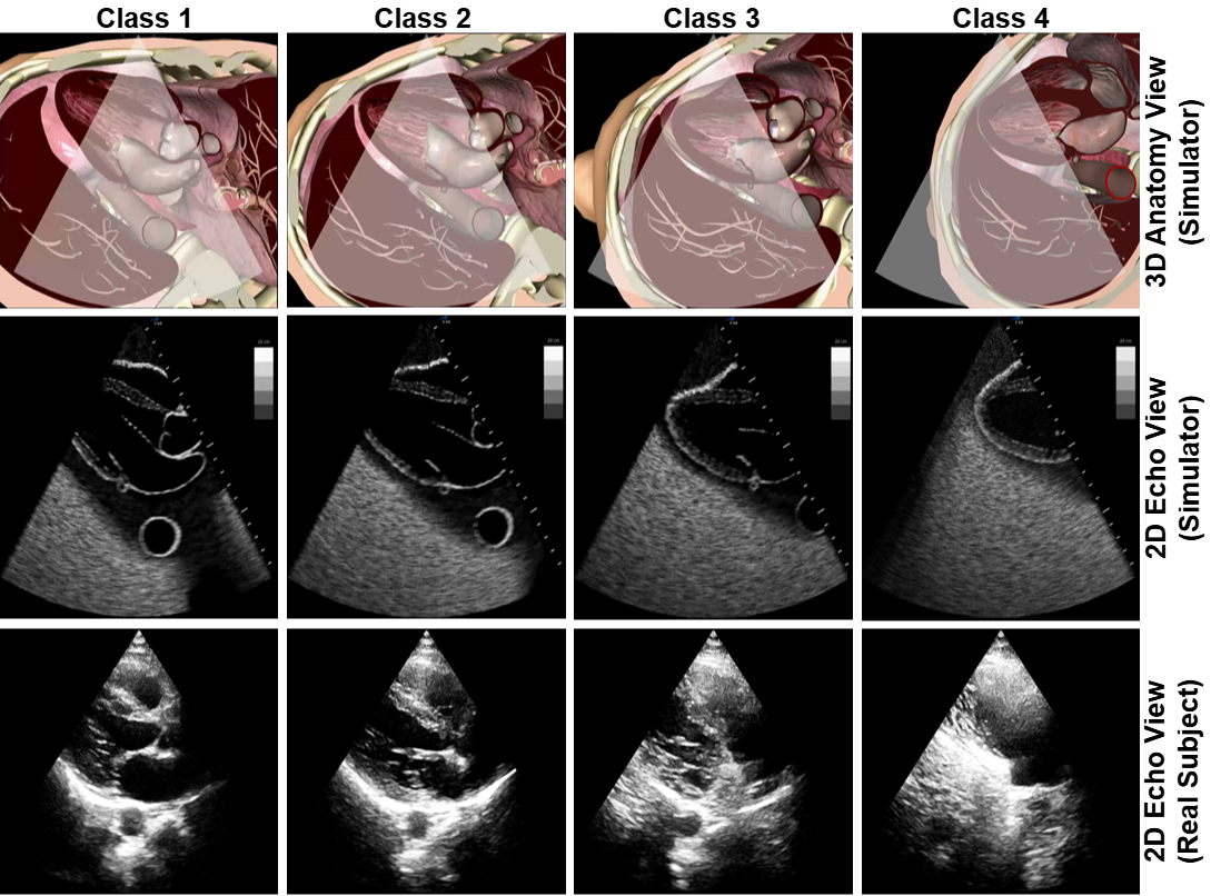
  8. ASMUS
    G Singh, Aiman Farooq, A Singh, D Mishra, R Choudhary, P Singh Khera
    International Workshop on Advances in Simplifying Medical Ultrasound

  9. WACV
    Aiman Farooq, Deepak Mishra, Santanu Chaudhury
    Winter Conference on Applications of Computer Vision (WACV), 2025

  10. ICVGIP
    Harini G.*, Aiman Farooq*, Deepak Mishra
    Indian Conference on Computer Vision, Graphics and Image Processing (ICVGIP), 2024

  11. ACCV
    Aiman Farooq, Utkarsh Sharma, Deepak Mishra
    Asian Conference on Computer Vision Workshop (ACCV), 2024

  12. CVPR WiCV
    Aiman Farooq, Deepak Mishra, Santanu Chaudhury
    Conference on Computer Vision and Pattern Recognition - Women in Computer Vision (CVPR WiCV), 2024

  13. RSNA
    S. Datta, A. Farooq, S. Agrawal, D. Mishra, A. Kumar, S.R. Gamanagatti, D. Kandasamay, S. Mittal, S. Kumar, R. Sharma
    Radiological Society of North America (RSNA), 2023

Services

Conference Reviewers

Workshop Organization

Talks

Teaching

Awards

Grants